@‚blinicopathological conference
@Η—α‚P
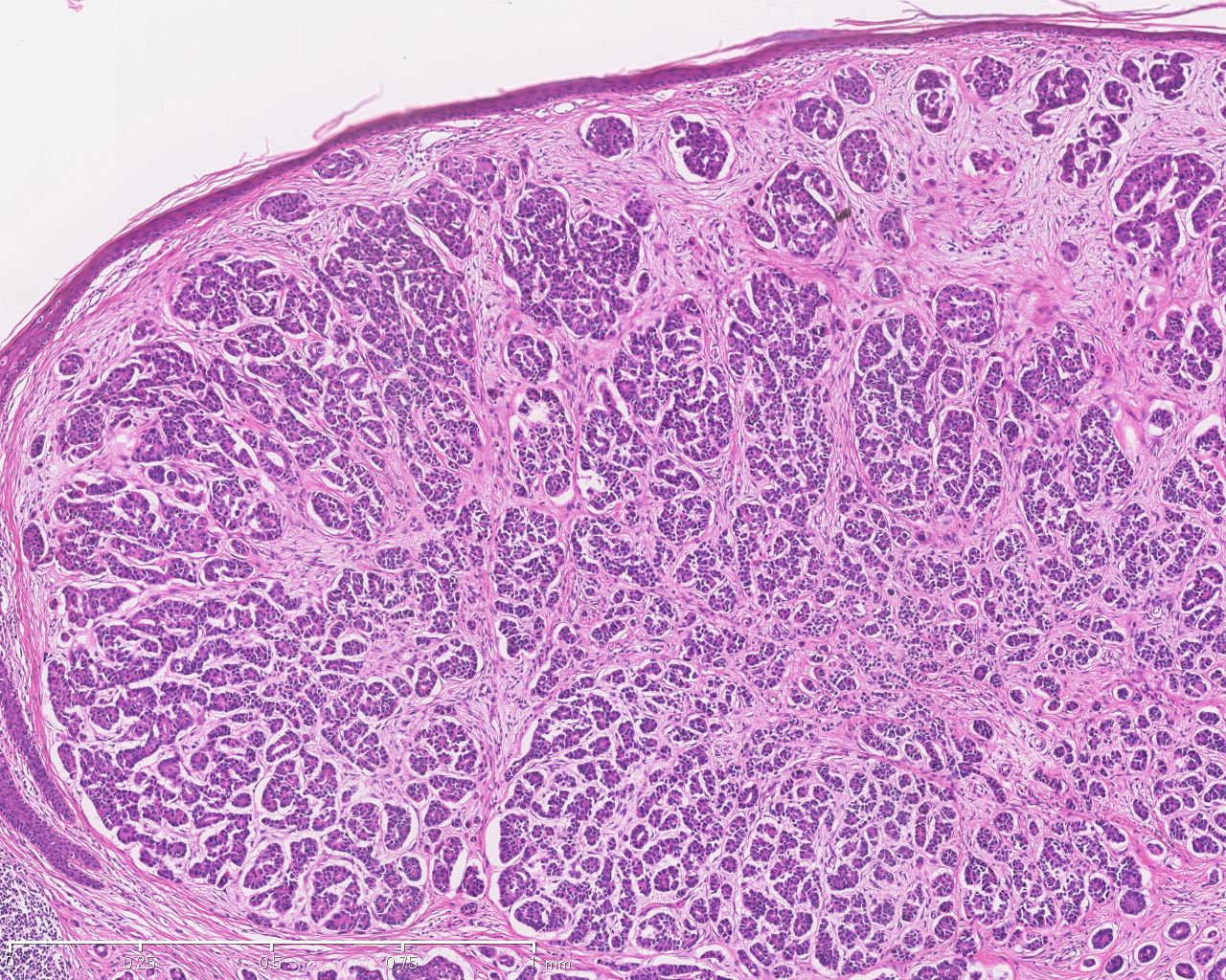
@@1. ƒAƒ|ƒNƒŠƒ“‘BŠΰ‚Ζ“ϋŠΰ
@@@@ŽO» ”͍K (²‰κ‘ε)

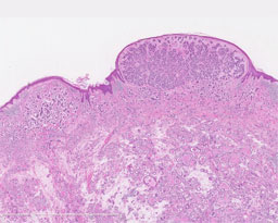
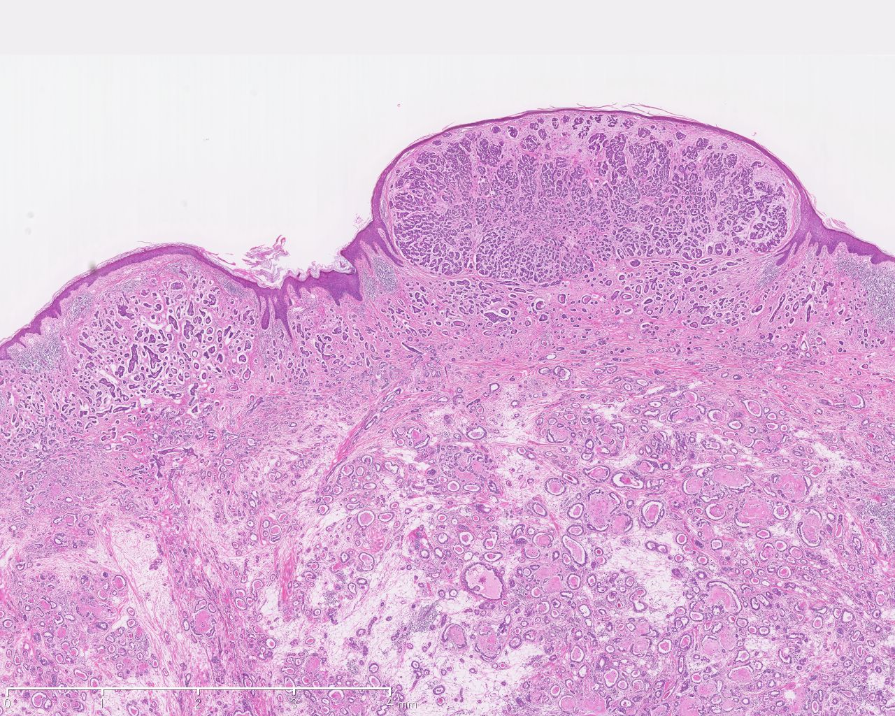
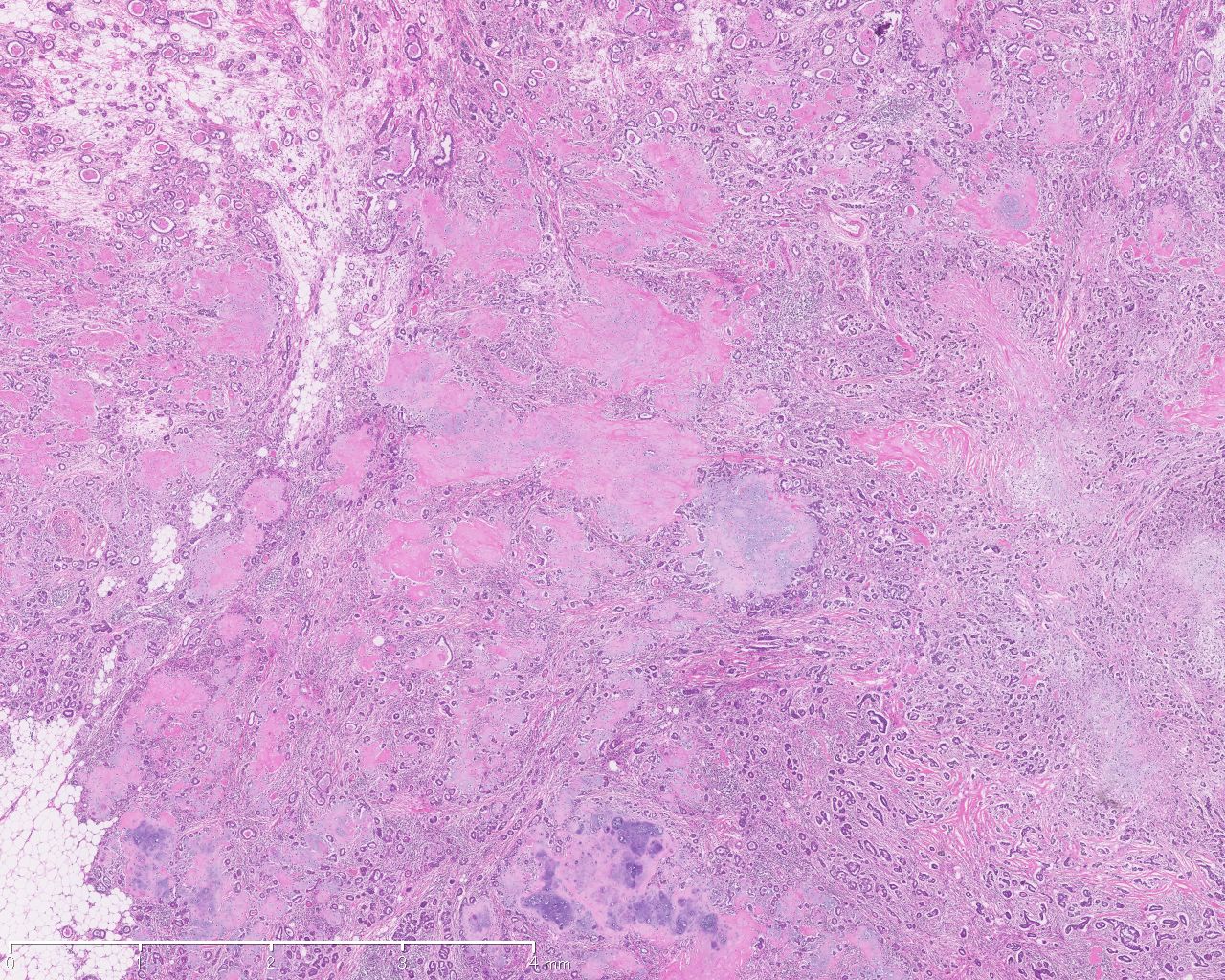
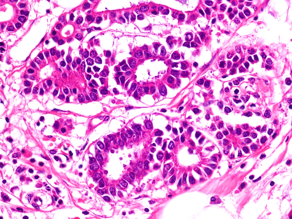
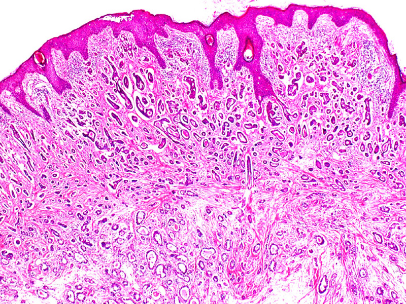
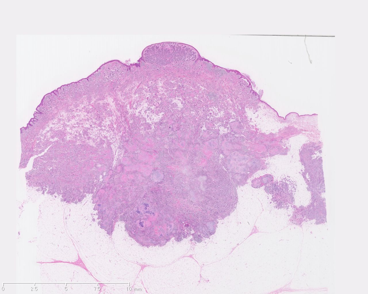
@@84Ξ—«BΆγ˜r‚ɐΆ‚Ά‚½Œ‹ίB

¦‰ζ‘œ‚πƒNƒŠƒbƒN‚ΕŠg‘ε
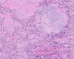
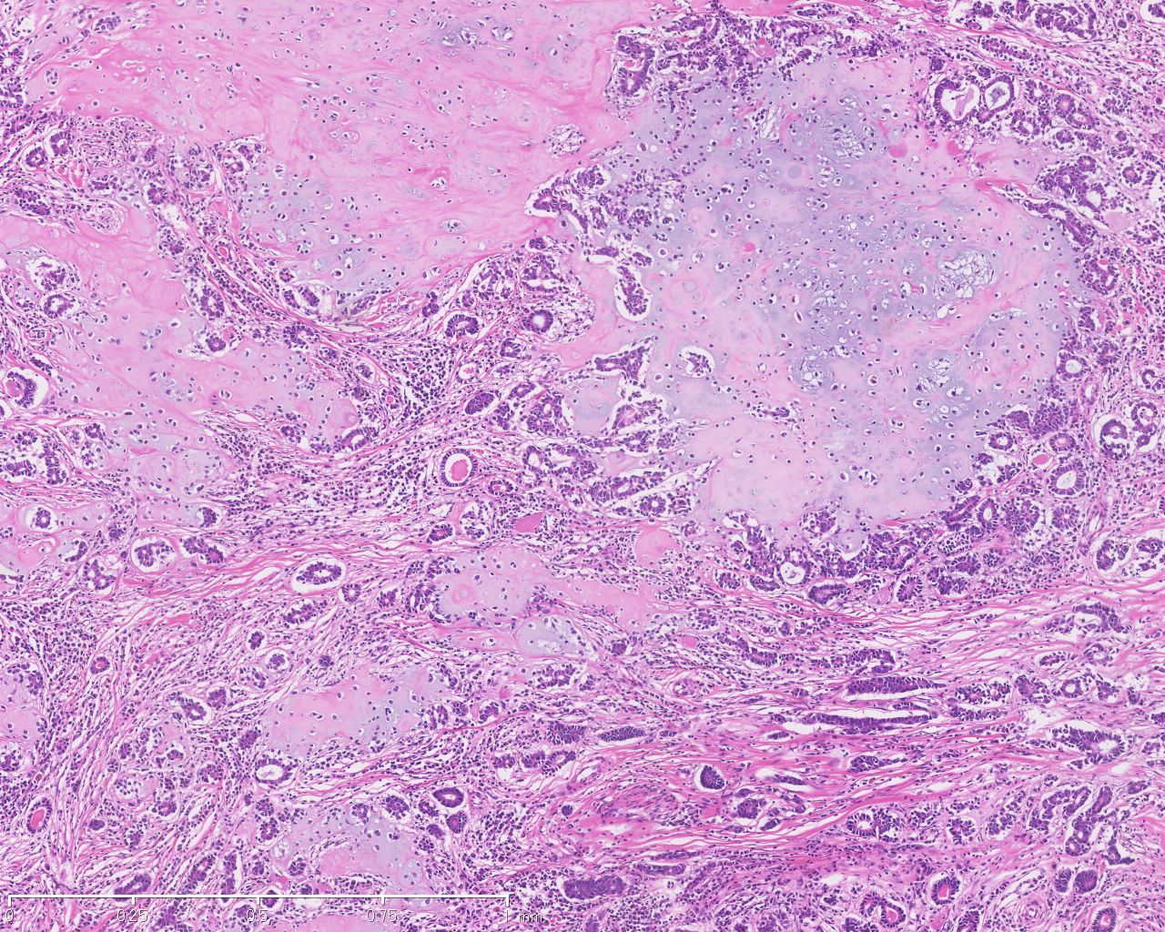
‚P ‚Q
‚R ‚S
‚T ‚U

‚V ‚W