Clinicopathological conference
症例2
2. いわゆる苔癬様反応
今山修平 (今山修平クリニック&ラボ)
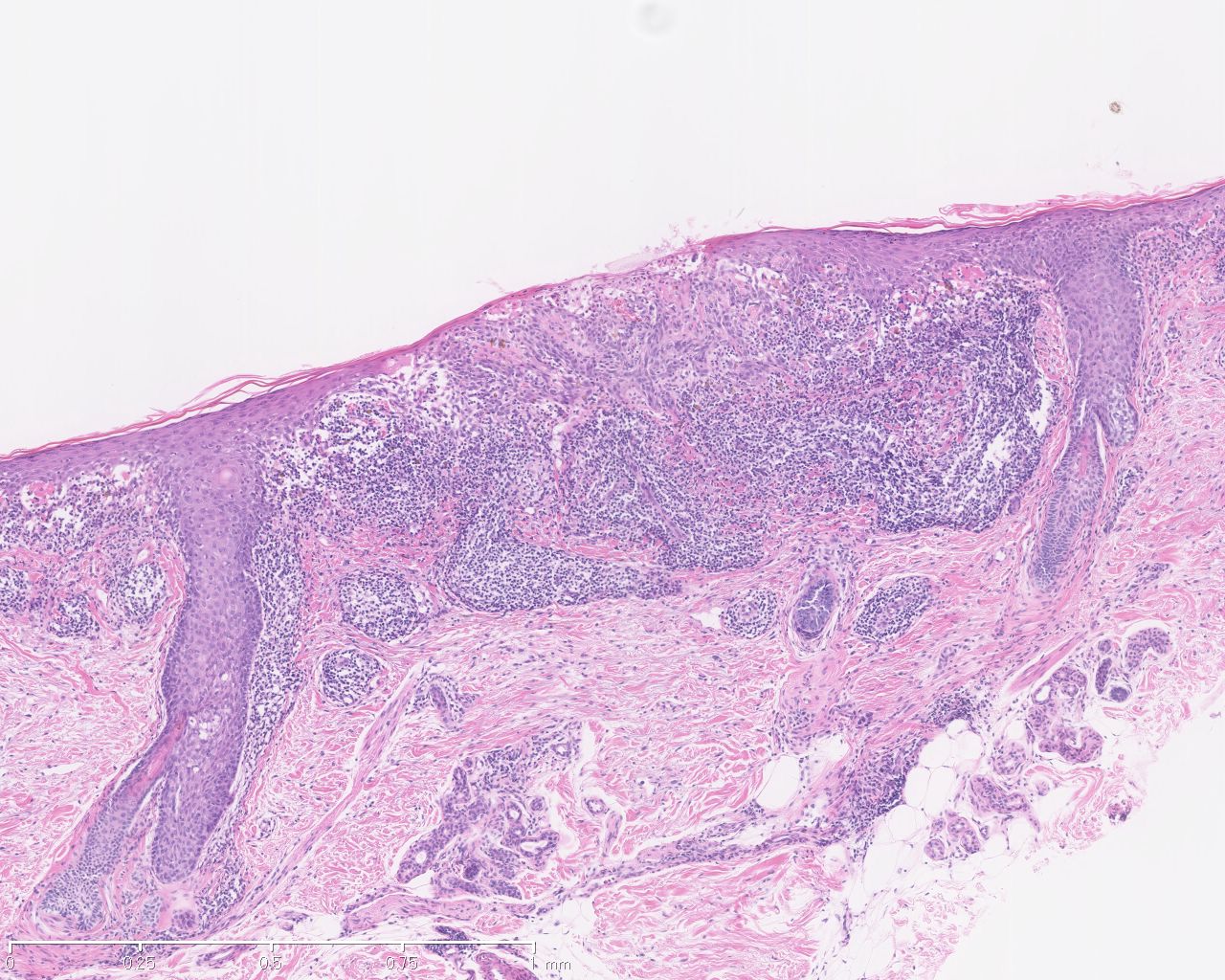
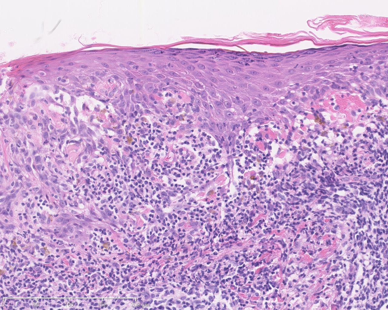
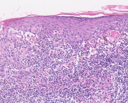
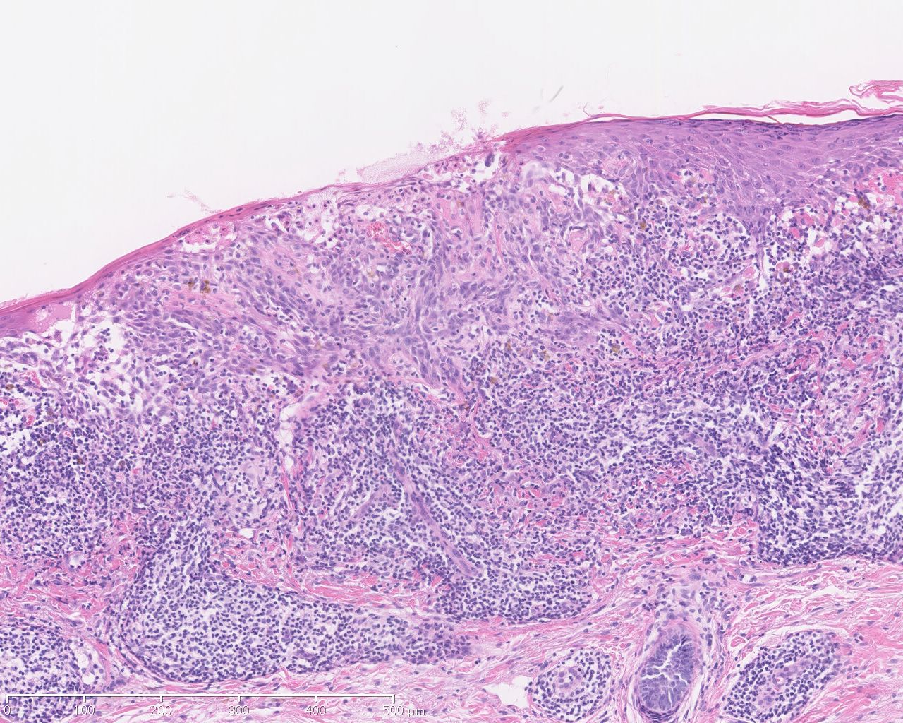
57歳女性。以前から左外眼角に淡褐色斑(長径1cm)があり,老人性色素斑と考えて経過観察中であったが小丘疹が現れたため色素斑全体を切除した。
※画像をクリックで拡大
1
2
3
4
5