Clinicopathological conference
 症例3
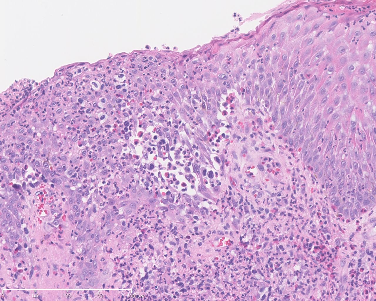
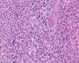
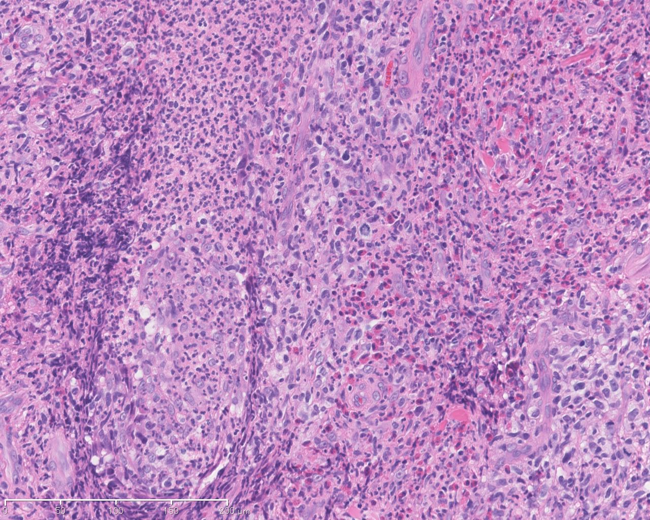
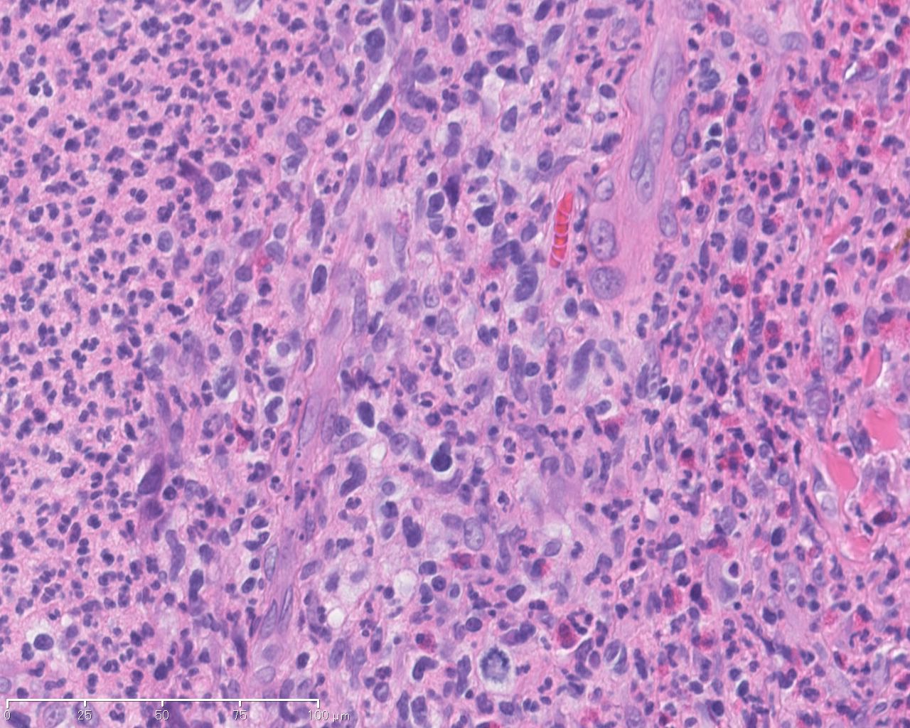
  3. 体幹および頭皮に多発する毛嚢破壊性病変
    泉 美貴 (東京医大医学教育科)

80歳,男性。

既往歴:特記すべきことなし。HIV(−), HTLV-1(−) 。

現病歴:約3年前から,頭部や体幹に痒みをともなう皮疹が多数出現した。ステロイド外用,抗生剤内服および外用にても改善がない。

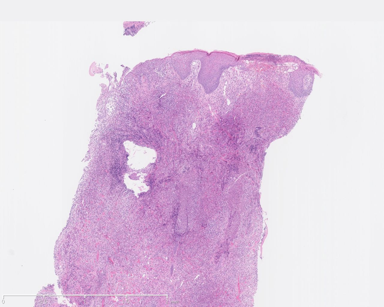
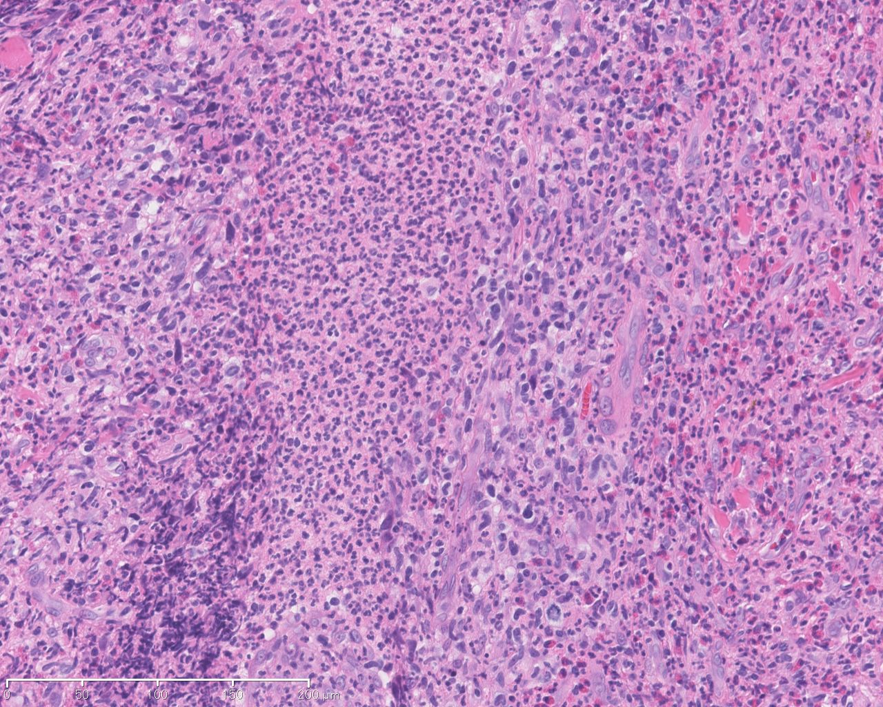
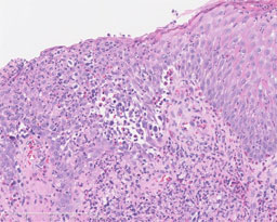
現 症:体幹の皮疹は紅色斑〜茶褐色局面で,表面が湿潤しわずかに膿疱を伴う。頭部は結節性病変が多数形成されている。一部は禿頭となる。

※画像をクリックで拡大