Clinicopathological conference
 症例4
  4. 下腿の皮膚潰瘍を伴なう網状皮斑
    福本隆也(奈良県立医大)

70歳代女性。既往歴:高血圧、不整脈。両下肢静脈抜去術、両膝人工関節置換術。

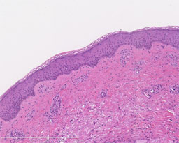
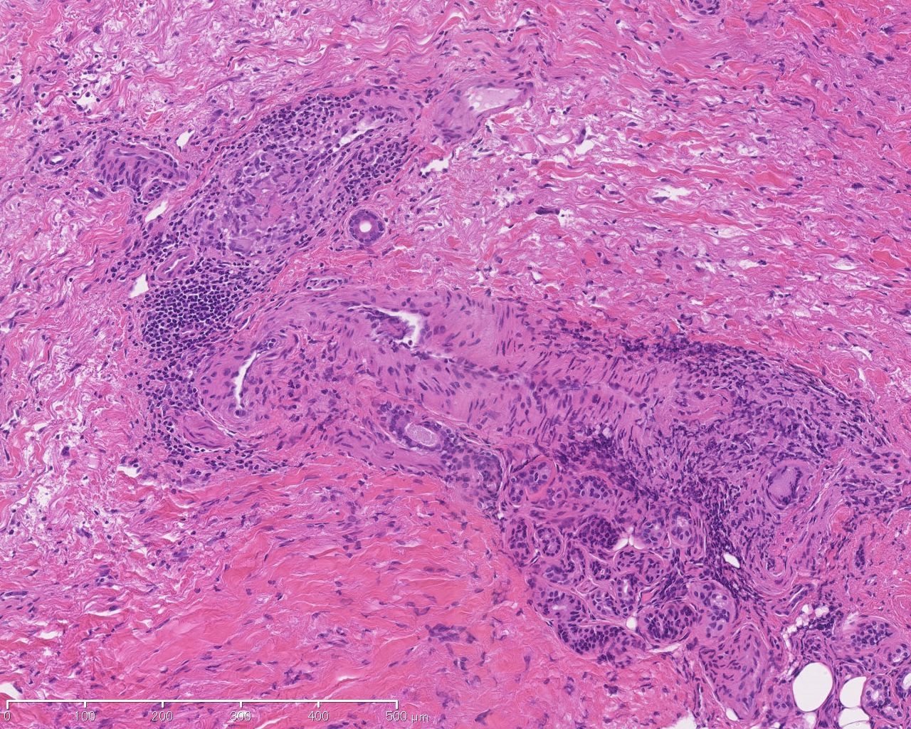
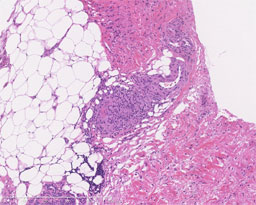
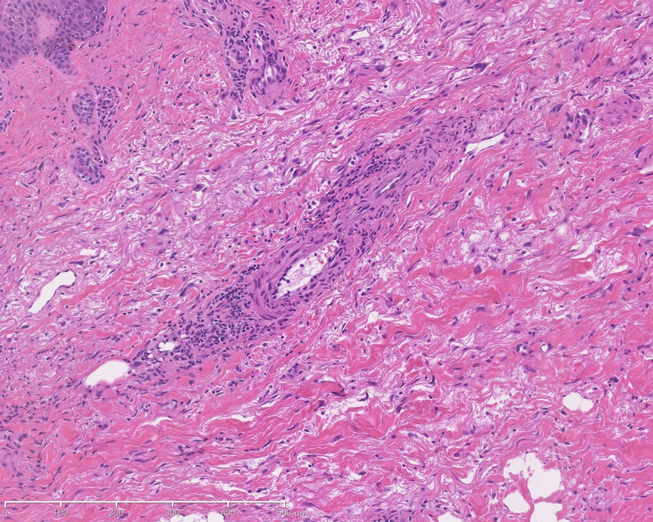
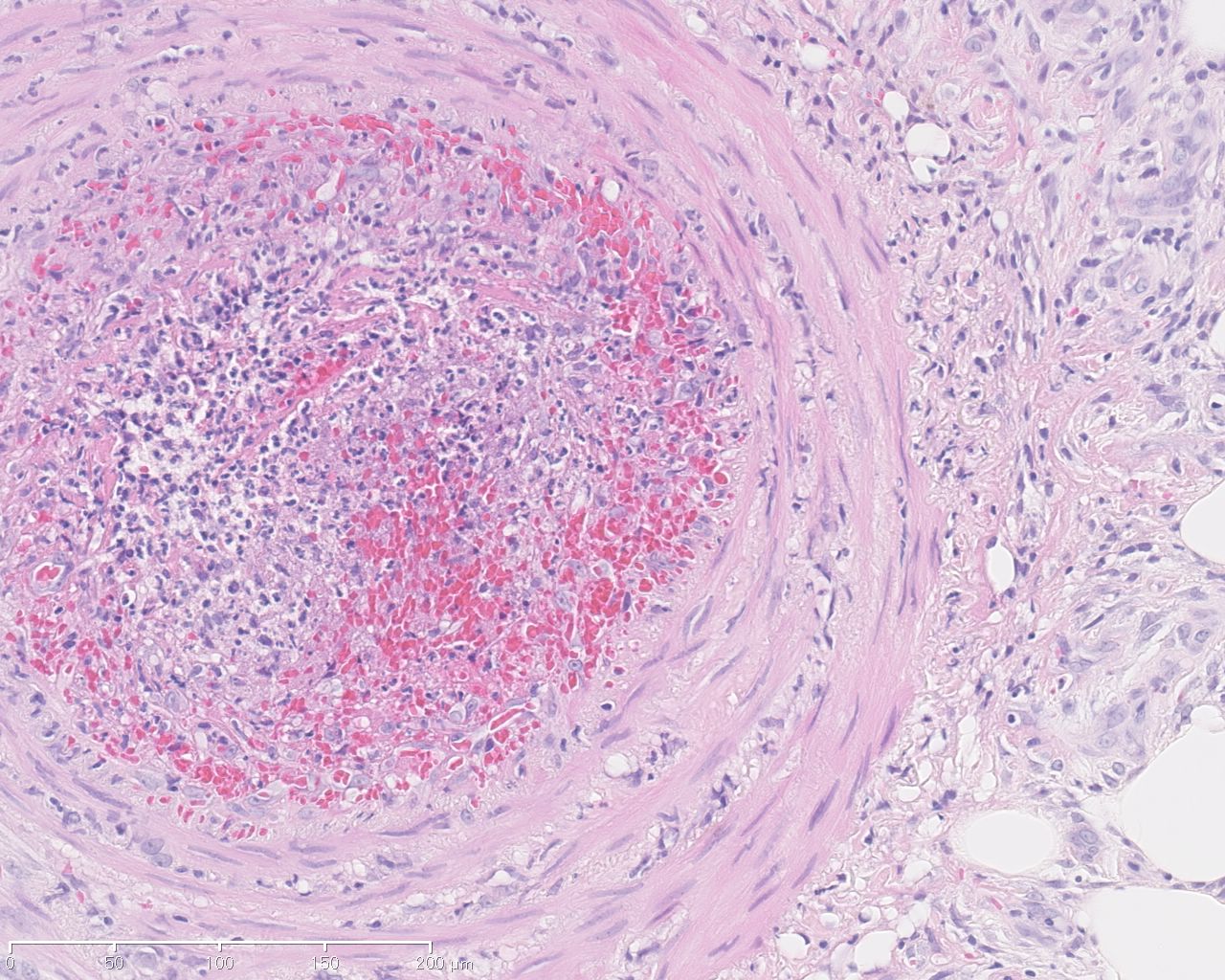
現病歴:1988年頃に下腿浮腫が出現。1989年頃より左足底より凍瘡様の紅斑が出現し、下腿に拡大した。1992年に下腿に潰瘍が出現し、当科を紹介受診。両下腿の浮腫があり、網状皮斑を伴っていた。左下腿に潰瘍がみられた。PSL内服にて治癒したが、1997年に紅斑の一部から潰瘍が再燃した。このときもPSL内服で治癒した。2009年12月より両下腿に紅斑が多発し、徐々に拡大。下腿浮腫、皮膚潰瘍が多発してきた。

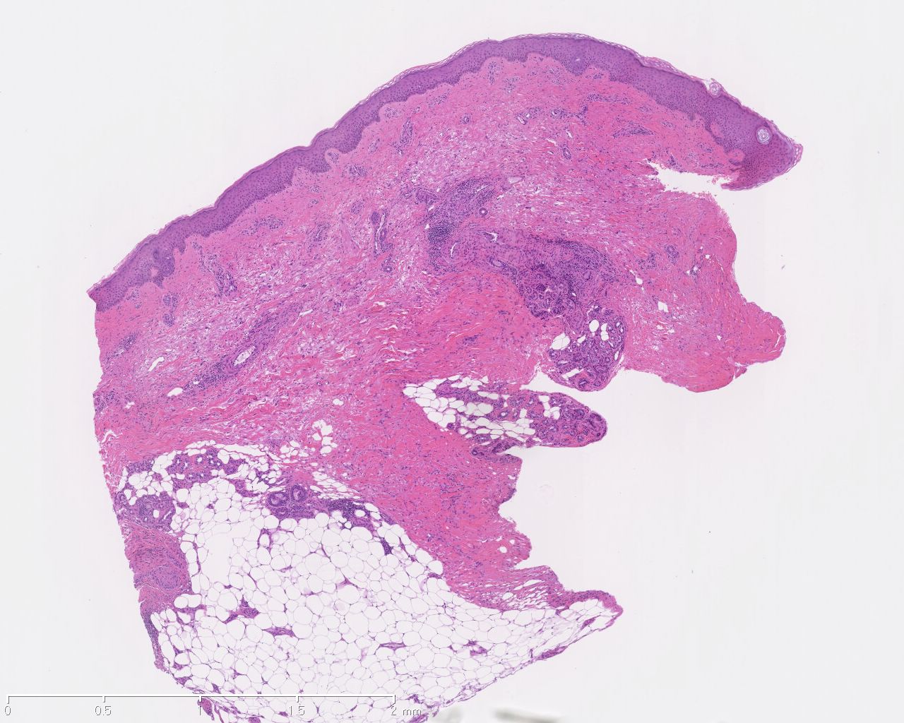
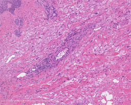
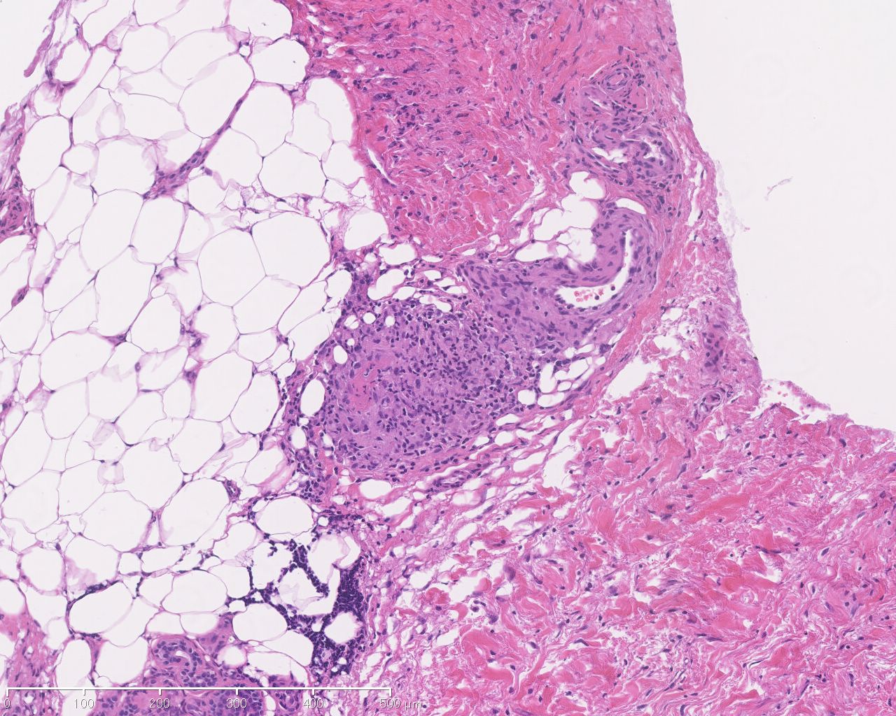
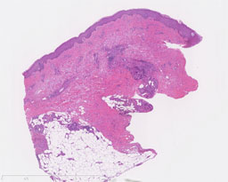
再診時血液検査所見:WBC10100/ul, Hb12.6g/dl, Plt42.5万、CRP7.4mg/dl、肝機能腎機能に異常なし。ANA x160, speckled, homogenous, 各種自己抗体は陰性。1997年(症例4-1)と2010年(症例4-2) 。

症例4-1 ※画像をクリックで拡大
症例4-2