Clinicopathological conference
 症例5
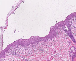
  5. 新生児に生じた、顔面および体幹の小水疱、小膿疱
    清原 隆宏 (福井大)

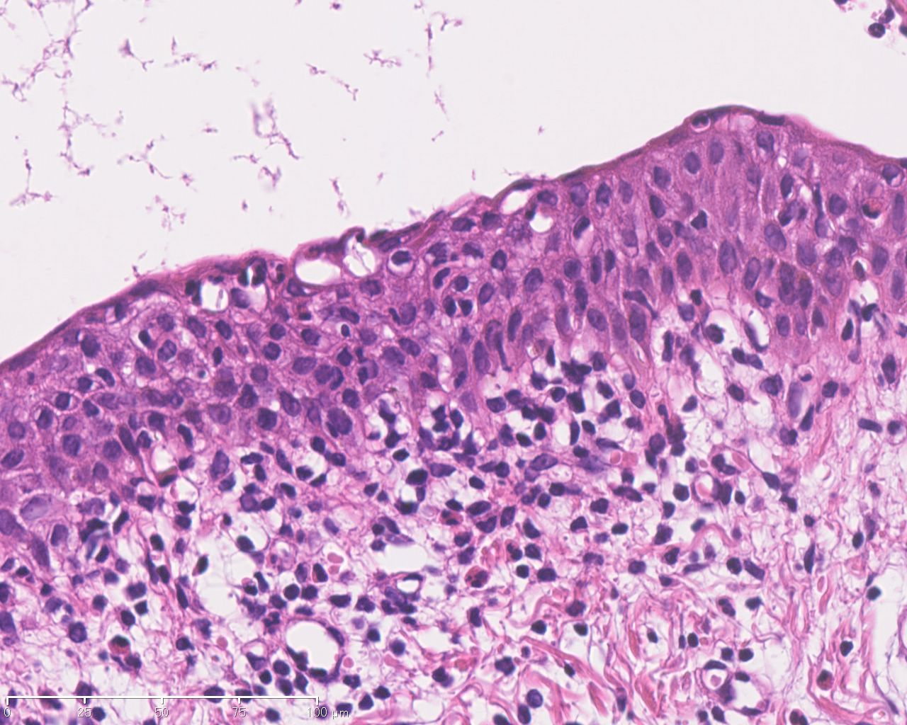
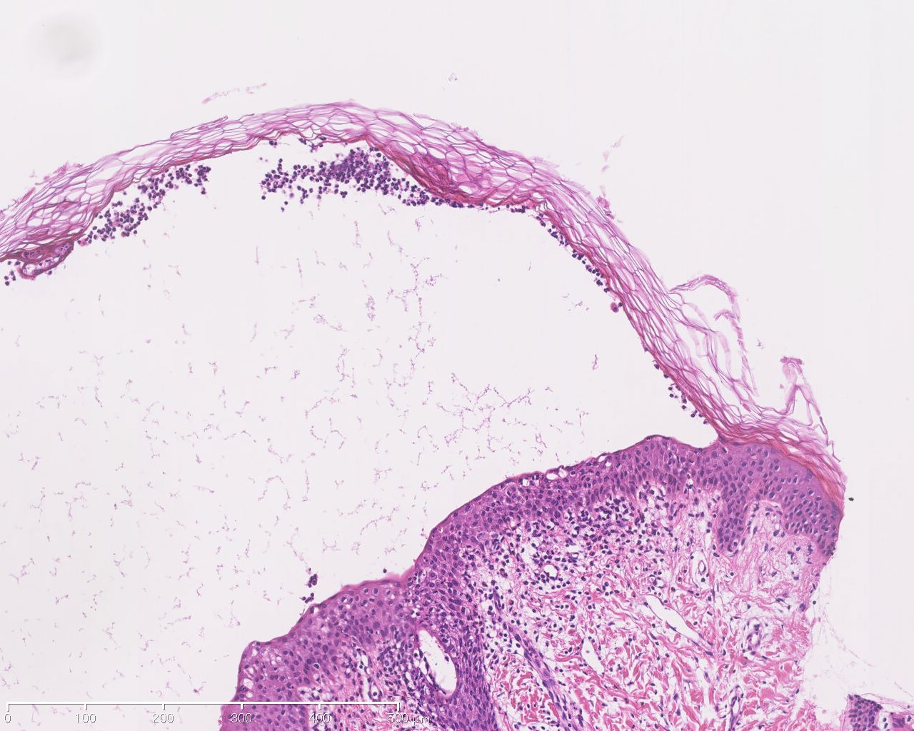
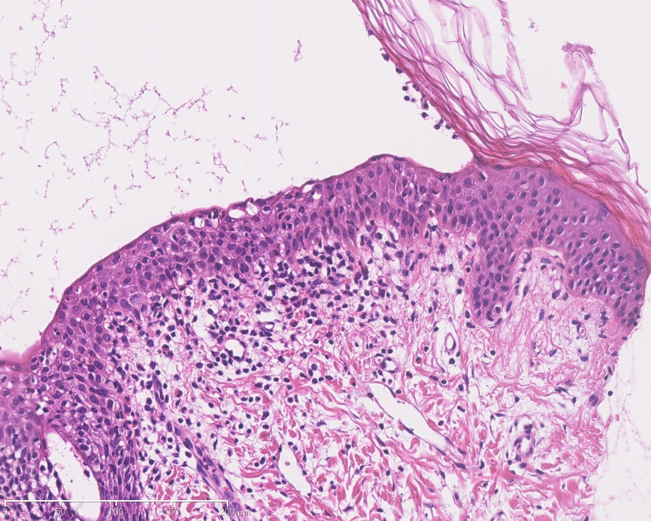
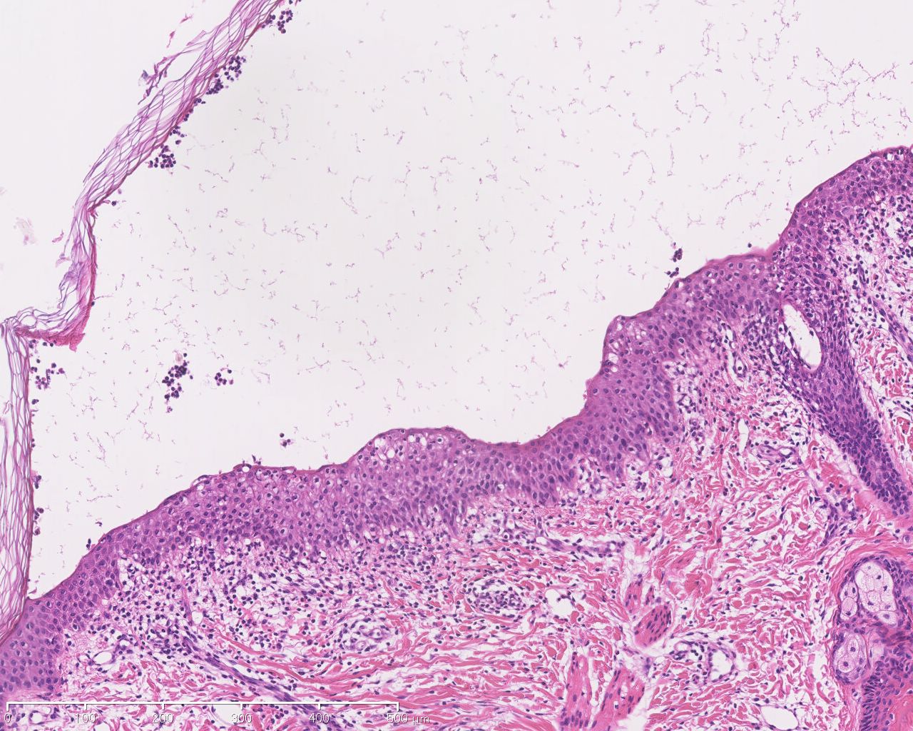
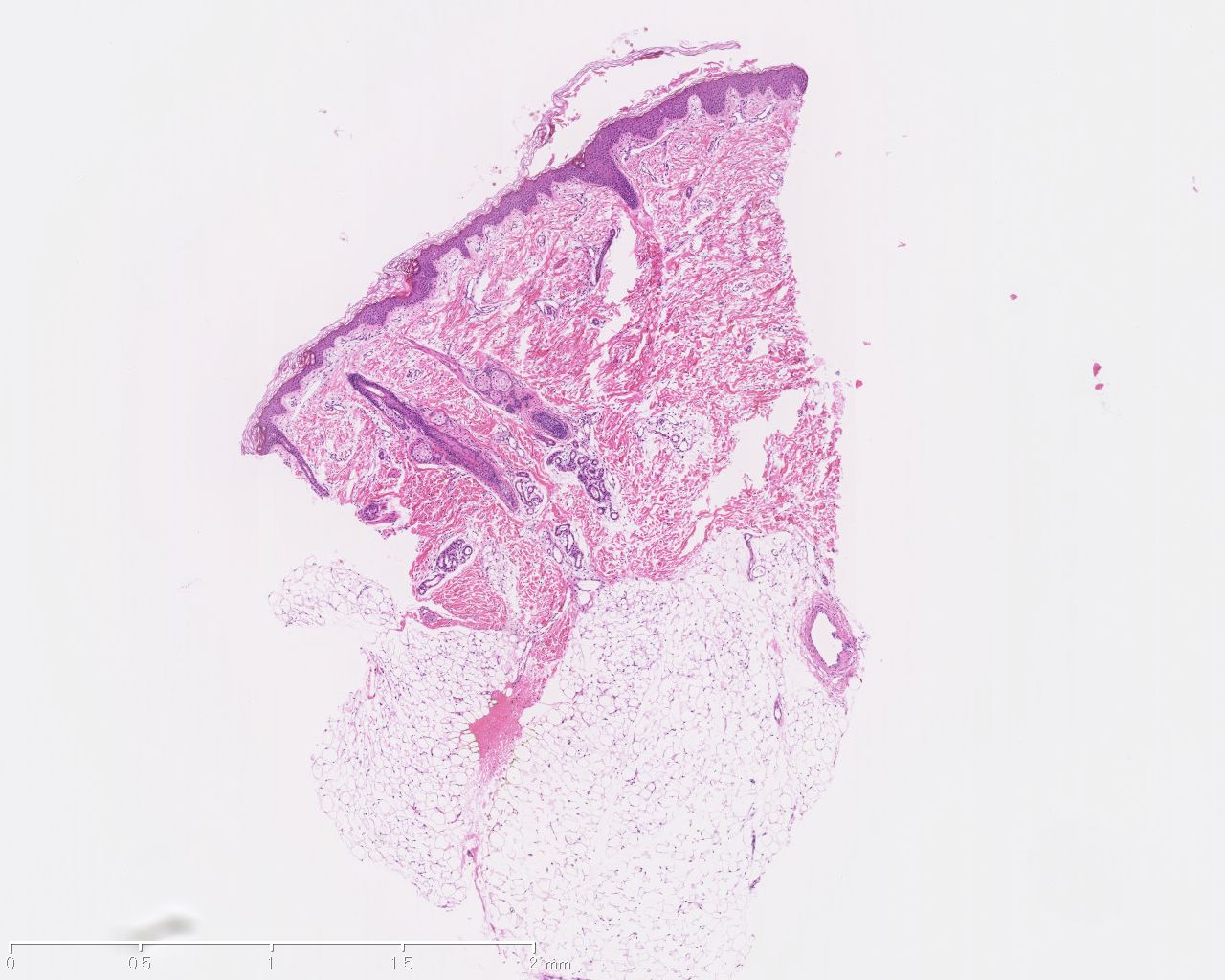
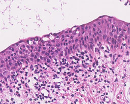
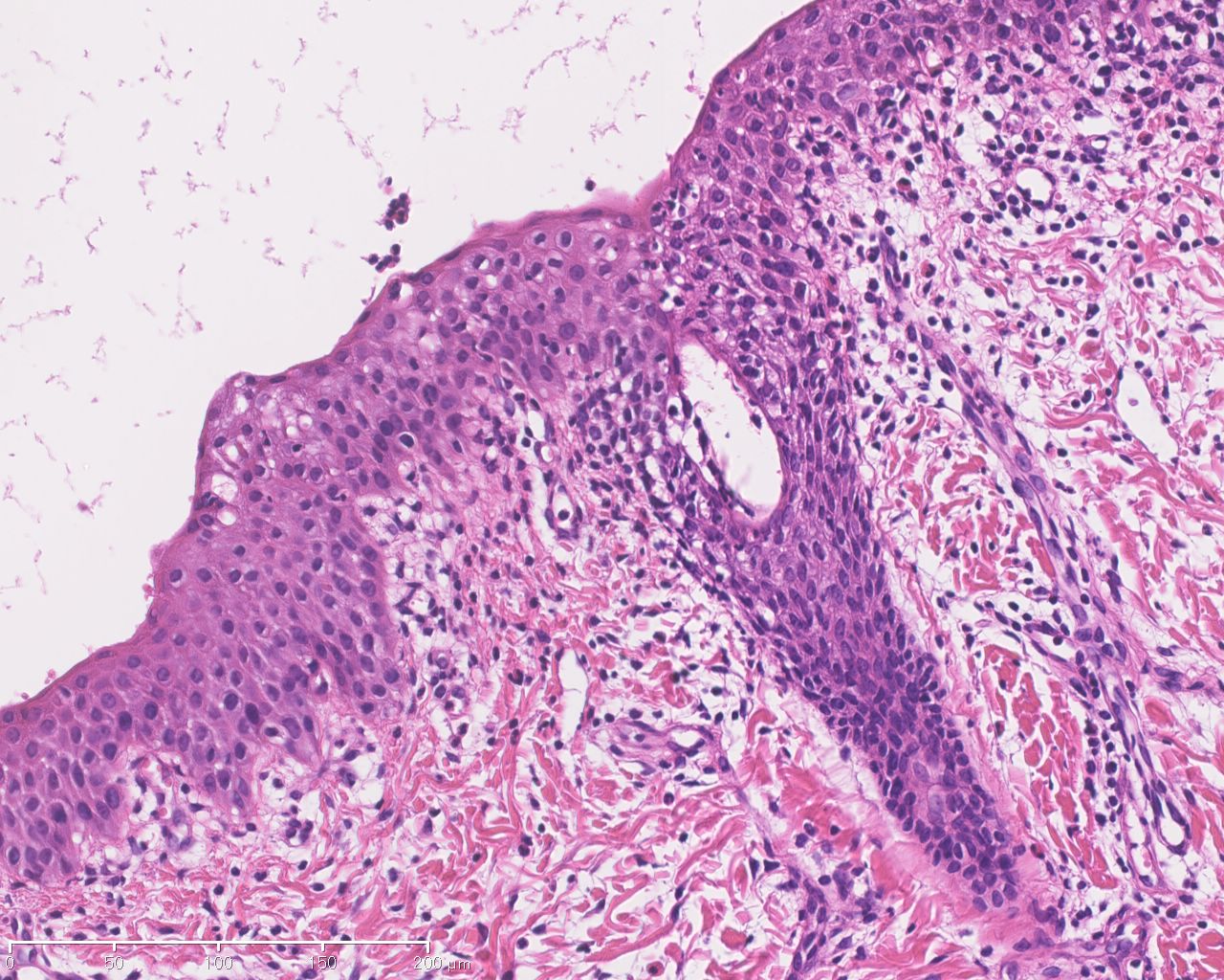
生後1日、女児。主訴:顔面および体幹の小水疱、小膿疱。現病歴:在胎37週5日、帝王切開分娩。出生時から顔面、体幹に小水疱、小膿疱が散在している。先天性表皮水疱症を疑われて当院NICUに紹介された。既往歴:特別なことはない。家族歴:特別なことはない。現症:左前額部に小水疱および小膿疱が散在、左頬部に紅色丘疹が1個存在、左前胸部に紅色丘疹および水疱が散在している。

※画像をクリックで拡大